در این مطلب می خواهیم اطلاعاتی را راجع به اکسپوژر دندان در اختیارتان قرار بدهیم. دندان نهفته به دندانی اطلاق میشود که به صورت کامل از لثه خارج نشده و قابل دیدن نیست. این مشکل به دلایل مختلفی از جمله فضای محدود در دهان، رشد نامناسب دندانها، یا وجود بافت لثه بیش از حد در اطراف دندان ایجاد میشود. اکسپوز دندان نهفته یک روش درمانی است که با استفاده از فنون دندانپزشکی، دندان را از زیر بافت لثه خارج میکند. این فرآیند باعث بهبود عملکرد و زیبایی دندانها، و در نتیجه، بهبود کیفیت زندگی فرد میشود.
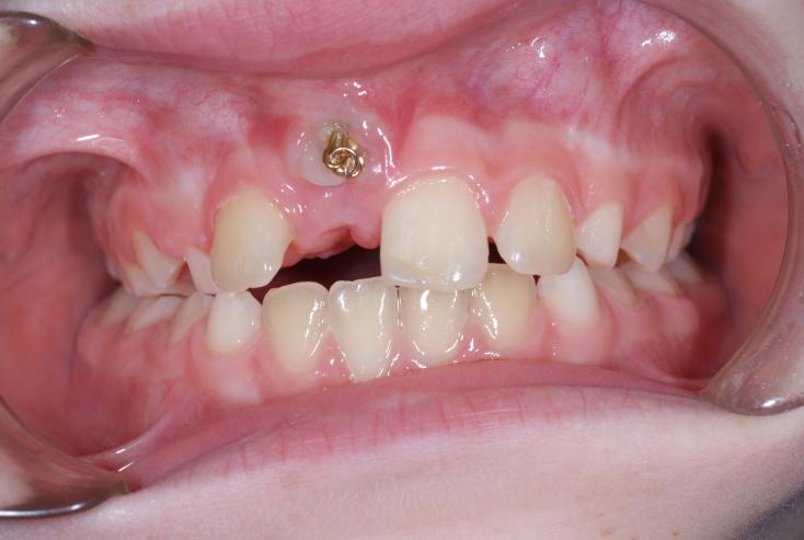
در یک روش ساده در حوزه دندانپزشکی که در کلینیک کینگ دنتال انجام میشود، لثه بالای دندان که دندان زیر آن نهفته است، درمان شده تا دندان قابل رویت شود. سپس، یک براکت به دندان چسبیده میشود. این براکت با یک زنجیر طلایی کوچک متصل میشود و موقتا به سیم ارتودنسی پیوند داده میشود. در صورت عدم وجود بریس، زنجیر به طور موقت به دندان متصل میشود. برای اطلاعات بیشتر درباره این روش جراحی این مقاله را تا انتها مطالعه کنید.

اکسپوژر دندان چیست؟
این عمل یک فرآیند در حوزه دندانپزشکی و ارتودنسی است و برای نمایان کردن دندانهایی که زیر بافت لثه قرار دارند و از دید پنهان هستند، استفاده میشود. در این فرآیند، با استفاده از تکنیکهای جراحی یا دندانپزشکی، بافت لثه بالای دندان که دندان زیر آن نهفته است، درمان میشود. این کار باعث میشود دندان به سطح بیاید و قابل رویت شود.
متخصص ارتودنسی در عرض ۱ تا ۲ هفته بعد شما را ویزیت میکند. یک نوار لاستیکی است که به زنجیر متصل میشود تا نیروی کششی سبکی را به دندان وارد کند. این کار باعث حرکت دندان به مکان مناسب خود میشود.
بهترین کلینیک تخصصی اکسپوژر دندان در تهران
کینیک کینگ دنتال یکی از کلینیکهای تخصصی و معتبر اکسپوژر در تهران است که با تخصص و تجربه فراوان تیم متخصص و متعهد خود، به عنوان یکی از برترینها شناخته میشود. این کلینیک از تجهیزات و فناوریهای بروز و پیشرفته برای اکسپوژر استفاده میکند و آخرین روشهای درمانی دنیا را در زمینه درمانهای دندانپزشکی برای بیماران ارائه میدهد.
همچنین، با توجه به نظرات مثبت و تجربیات موفق بسیاری از بیماران خود، این کلینیک به عنوان یک گزینه ایدهآل برای افرادی است که به دنبال درمان درست و موثر برای دندانهای نهفته خود هستند. با توجه به ارائه خدمات با قیمت منصفانه و رقابتی، کینیک کینگ دنتال به عنوان یک کلینیک منصف و کارآمد در بین کلینیکهای اکسپوژر دندان در تهران شناخته شده است.

چه زمانی بیمار نیاز به اکسپوژر دندان پیدا میکند؟
بیماران در شرایط زیر نیاز به اکسپوژر دارند:
برای درمانهای ارتودنسی: اکسپوژر در درمانهای ارتودنسی استفاده میشود. وقتی دندانها در موقعیتهای غیر مطلوبی در دهان قرار دارند، متخصص ارتودنسی ممکن است از این فرآیند برای نمایان کردن دندانهای زیر لثه استفاده کند، تا بتواند آنها را به مکان مطلوبی منتقل کند و ارتودنسی مناسب را انجام دهد.
برای ترمیمهای دندانی: در برخی مواقع، اگر دندانی نیاز به ترمیم دارد و این دندان زیر لثه قرار دارد، اکسپوژر ممکن است انجام شود تا دندان قابل در دسترس شود و ترمیم مورد نیاز انجام شود.
برای حل مشکلات لثه: در برخی موارد، مشکلات لثه باعث پنهان شدن دندانها شده و نیاز به اکسپوژر دارد. این مشکلات شامل تورم یا ترکهای لثه است.
به طور کلی، هر زمان که دندانی زیر بافت لثه قرار دارد و نیاز به رویت و دسترسی برای ترمیم، درمان ارتودنسی یا حل مشکلات لثه دارد، اکسپوژر استفاده میشود. این فرآیند توسط متخصص دندانپزشکی یا ارتودنسی انجام میشود.
مزایای اکسپوژر دندان
اکسپوژر ، به عنوان یک روش درمانی موثر برای دندانهای نهفته شناخته میشود و مزایا و فواید زیر را دارد:
موفقیت بالا: اکسپوژر براکتینگ (اکسپوز دندان نهفته) موجب ترتیب صحیح دندانها میشود. براکتها به بازگرداندن دندان به محل مناسب خود کمک میکنند و سیمها نیز با فراهم کردن نیروی لازم، به حرکت دندان به جایگاه صحیح کمک میکنند.
بهبود سلامت دندان: اکسپوژر موجب قرینه شدن دندانها و با دسترسی بهتر برای تمیز کردن دندانها موجب بهبود سلامت دهان و دندانها میشود.
درد کمتر: اگرچه در این فرآیند درمانی ممکن است دردی احساس شود، اما به طور کلی اکسپوژر کمترین درد را نسبت به جراحی دیگر برای دندانهای نهفته دارد.
بنابراین، اکسپوژر یک روش موثر و مناسب برای بهبود سلامت دهان و بهبود موقعیت دندانهای نهفته است.

معایب اکسپوژر دندان
اکسپوژر دندان، همانند هر روش درمانی دیگری، معایب و نقاط ضعفی دارد و عبارتند از:
نیاز به زمان: اکسپوژر ممکن است نیاز به زمان طولانیتری داشته باشد تا به نتایج مطلوب برسد.
نیاز به همکاری بیمار: برای موفقیت اکسپوژر، نیاز به همکاری بیمار در استفاده از دستگاه ارتودنسی و پیروی از دستورالعملهای دندانپزشکی است. عدم همکاری ممکن است به تأخیر در درمان و حتی عدم تحقق نتایج مطلوب منجر شود.
خطرات و عوارض جانبی: مانند هر روش جراحی یا درمانی دیگری، اکسپوژر نیز ممکن است با خطرات و عوارض جانبی همراه باشد. این عوارض شامل عفونت، ترشح خون بیش از حد، التهابات لثه، درد و تورم موقت و حتی تغییرات در حساسیت دندانها است.
هزینه: درمان اکسپوژر ممکن است هزینه بر باشد، به خصوص اگر نیاز به استفاده از دستگاههای ارتودنسی و ترتیبات خاص دیگری باشد. هزینههای مربوط به مراجعات مکرر به دندانپزشک و نگهداری از دستگاه ارتودنسی نیز باید در نظر گرفته شود.
نتایج ناقص: در برخی موارد، نتایج اکسپوژر به دلیل عوامل مختلف مانند ترکیبات ژنتیکی، مشکلات لثه، یا عدم پیروی صحیح از دستورالعملهای درمانی، ناقص باشد و به روشهای درمانی دیگری احتیاج باشد.
با این وجود، با توجه به مزایا و موفقیتهای اکسپوژر، انتخاب این روش ممکن است در موارد مشخصی مناسب و مفید باشد، اما همواره لازم است با دندانپزشک خود در مورد گزینهها و ریسکهای مرتبط مشورت کنید.
مشاوره فوری تخصصی اکسپوژر دندان
برای دریافت مشاوره فوری و تخصصی در زمینه اکسپوژر دندان، بهترین راه مراجعه به کلینیک کینگ دنتال است. متخصصان با بررسی دقیق وضعیت دندانها و بررسی وضعیت پزشکی شما، راهنماییهای موثری را ارائه میدهد. از طریق مشاوره حضوری یا حتی مشاوره آنلاین میتوانید اطلاعات کاملی درباره فرآیند اکسپوژر، مراحل آن و احتمالات و عوارض مربوط به آن را بدست آورید. همچنین مطالعه و تحقیق در مورد تجربیات دیگران و مراجعه به نظرات افرادی که قبلا این روش را تجربه کردهاند، میتواند به شما کمک کند تا تصمیم بهتری بگیرید و بهترین راه حل را برای درمان دندانهای نهفته خود انتخاب کنید.

هزینه انجام اکسپوژر دندان در سعادت آباد
هزینه انجام اکسپوژر دندان در سعادت آباد به عوامل مختلفی از جمله میزان نیاز به درمان، شرایط دندانی هر فرد، تخصص و تجربه دندانپزشک، تجهیزات استفاده شده، و موارد دیگر بستگی دارد. باید توجه داشت که این هزینه متغیر است. برای دقیقترین تخمین هزینه، بهتر است با دندانپزشکان در این مرکز مشاوره کنید و پس از بررسی وضعیت، هزینه را ارزیابی کنید.
دریافت نوبت برای انجام اکسپوژر دندان در سعادت آباد تهران
برای دریافت نوبت برای انجام اکسپوژر در سعادت آباد تهران از روشهای زیر اقدام کنید:
تماس تلفنی با کلینیکها: با کلینیکهای دندانپزشکی در سعادت آباد تماس گرفته و نوبت برای اکسپوژر را خواست کنید.
رزرو آنلاین: برخی از کلینیکها امکان رزرو آنلاین نوبت را فراهم میکنند. از طریق سایت نوبت خود را رزرو کنید.
مراجعه حضوری: به صورت حضوری به کلینیکهای مختلف در سعادت آباد مراجعه کرده و نوبت خود را دریافت کنید.
بسته به نیاز شما و شرایط هر کلینیک، روش مناسب برای دریافت نوبت را انتخاب کنید.
در حوزه دندانپزشکی، اکسپوژر نقش بسیار مهمی در بهبود سلامت دهان و دندانهای شما دارد. این فرآیند، بهترین راه برای آزاد کردن دندانهای نهفته است و میتواند به بهبود کیفیت زندگی شما کمک کند. با انجام اکسپوژر، شما میتوانید لبخند زیباتری را تجربه کنید. حتما از تجربه و تخصص دندانپزشکان متخصص استفاده کنید.
در صورتی که نیاز به انجام خدمات تخصصی مانند بلیچینگ دندان، کامپوزیت دندان، لمینت دندان، ایمپلنت دندان، عصب کشی دندان، پروتز دندان و… داشتید با ما در کلینیک دندانپزشکی کینگ دنتال در تماس باشید.



یک پاسخ