جراحی لثه یکی از مهمترین شاخههای جراحی دهان و دندان است که بیماریها و مشکلات مربوط به لثه را ترمیم و درمان میکند. جراحی فلپ به عنوان یکی از روشهای شایع در این زمینه، با هدف ترمیم و بهبود وضعیت پاکت لثه و جلوگیری از گسترش بیماریها و التهابات لثه انجام میشود.
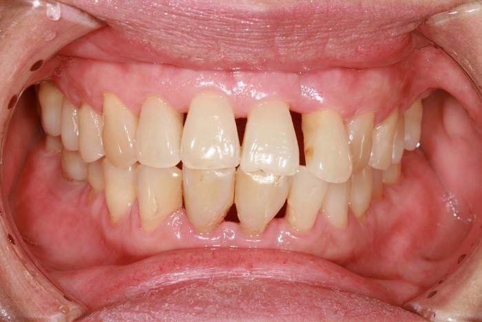
وجود عفونت و بیماری در لثه باعث فاصله و جدا شدن دندان از لثه شده و همچنین افزایش عمق پاکت لثه باعث افزایش نفوذ باکتری به این ناحیه میشود. در نتیجه، دندانپزشکان برای کاهش عمق پاکت لثه، به جراحی فلپ لثه روی میآورند. این جراحی که در این مقاله از کلینیک کینگ دنتال مورد بررسی قرار گرفته است، به عنوان یکی از روشهای موثر برای بهبود سلامت و زیبایی لثه و دندانها شناخته میشود.

فلپ لثه چیست؟
در بیماریهای پیشرفته لثه، مانند پریودنتیت، پاکت لثه به عنوان یک فضای ناشی از التهاب و عفونت در لثه شکل میگیرد. این التهاب و عفونت باعث چسبندگی بافت لثه به دندانها میشود و در صورت گسترش، عمق پاکت به بیش از 5 میلیمتر میرسد. در این موارد، جراحی فلپ به عنوان یک روش درمانی مؤثر برای کاهش عمق پاکت لثه و بهبود وضعیت لثه استفاده میشود.
پریودنتیت به عنوان یک بیماری شدید و پیشرفته از بیماریهای لثه شناخته میشود و باعث تخریب استخوان و بافت لثه میشود. این التهاب و عفونت باعث جدا شدن لثه از دندانها شده و باعث افزایش فضای پاکت لثه میشود و منجر به نفوذ باکتریها به بافت لثه و استخوان خواهد شد و در نتیجه ممکن است منجر به آسیب جدی به استخوان شود.
جراحی لثه در انواع مختلف برای پاکسازی لثه و بهبود وضعیت آن انجام میشود. این روشها شامل دیپ اسکیلینگ یا جرمگیری عمیق و روت پلنینگ است و با این روشها، لثه شکافته و از وجود باکتریها پاک شده و سطوح ریشه دندانها صاف میشوند تا فضای اضافی برای رشد باکتریها و تجمع جرم کاهش یابد. بسیاری از دندانپزشکان این دو روش را همزمان انجام میدهند تا بهترین نتیجه را برای بیماران خود به ارمغان بیاورند.
بهترین کلینیک تخصصی بریج دندان در تهران
کلینیک کینگ دنتال در تهران به عنوان یکی از بهترین کلینیکهای تخصصی بریج دندان شناخته میشود. این کلینیک به عنوان یکی از مراکز معتبر و با تجربه دندانپزشکی در تهران، به ارائه خدمات با کیفیت و با استفاده از جدیدترین تکنولوژیها و روشهای درمانی معروف است. همچنین، پزشکان و کادر درمانی ماهر و متخصص کلینیک کینگ دنتال تمام تلاش خود را برای ارائه خدمات برتر و رضایت بیماران میکنند.
از ویژگیهایی که این کلینیک را مهم و خاص میکند، میتوان به تجربه و تخصص پزشکان، استفاده از تجهیزات پیشرفته، محیط دندانپزشکی مدرن و فراهم کردن امکانات راحتی برای بیماران اشاره کرد. در نتیجه، اگر به دنبال یک کلینیک با کیفیت و حرفهای برای بریج دندان هستید، کلینیک کینگ دنتال یک گزینه عالی برای رفع مشکلات دندانی شما خواهد بود.

چه زمانی نیاز است که برای بیمار فلپ لثه انجام داد؟
نیاز به انجام جراحی فلپ لثه بستگی به وضعیت خاص هر بیمار و تشخیص پزشک دارد. اما در کل، انجام این جراحی در شرایط زیر لازم قابل انجام است:
پوسیدگی یا آسیب به لثه: اگر لثهها به علت پوسیدگی یا آسیب دیدگی نیاز به ترمیم دارند، جراحی فلپ لثه توصیه میشود.
بیماریهای لثه: افرادی که به بیماریهای لثه مانند التهاب لثه (جیوه) یا پریودنتیت (آسیب به بافت پشتی لثه) مبتلا هستند، نیاز به انجام جراحی فلپ لثه دارند.
رفع نواقص زیبایی: در برخی موارد، افرادی که با مشکلات زیبایی لثه مواجه هستند، مثل لثههای بیش از حد ریز، بیشتر از حد بزرگ، یا ناهمواریهای دیگر، از جراحی فلپ لثه برای اصلاح این مشکلات استفاده میکنند.
حفاظت از سلامت دندان: در مواردی که لثهها کشیده شده و ریشه دندانها بیشتر از حد بیرون آمده باشد و منجر به افزایش ریسک پوسیدگی دندان شود، انجام جراحی فلپ لثه میتواند به عنوان یک روش پیشگیری انتخاب شود.
بنابراین، در صورتی که مشکلات لثهای یا دندانی دارید و فکر میکنید جراحی فلپ لثه برای شما مفید است، بهتر است با پزشک خود مشورت کنید تا تشخیص دقیق و برنامه درمانی مناسب برای شما تعیین شود.
مزایای فلپ لثه
جراحی فلپ لثه یکی از روشهای محبوب در درمان بسیاری از مشکلات لثه و دندان است. این روش، با داشتن مزایای فراوان، به شما کمک میکند تا از شر بسیاری از مشکلات خطرآفرین بیماریهای دندان و لثه رهایی یابید. در ادامه مزایای این روش را ارزیابی میکنیم:
افزایش زیبایی لثه: جراحی فلپ لثه باعث اصلاح شکل و زیبایی لثه میشود، که این روش اعتماد به نفس شما را افزایش میدهد.
کاهش ریسک ابتلا به بیماریهای دیگر لثه: این روش بهبود قابل توجهی در وضعیت عمومی لثه دارد و احتمال ابتلا به بیماریهای دیگر لثه را کاهش میدهد.
بهبود شکل لبخند: با بهبود شکل لثه و دندان، شما یک لبخند زیباتر خواهید داشت.
افزایش اعتماد به نفس: اصلاح ظاهر لثه و دندان میتواند اعتماد به نفس شما را افزایش دهد و به شما احساس راحتی در ارتباط با دیگران بخشیده باشد.
قابل انجام در مدت کوتاه: این روش در مدت زمان کوتاهی انجام میشود، که این امر برای افرادی که وقت کمی دارند، بسیار مفید است.
کم هزینه بودن: نسبت به برخی روشهای دیگر درمانی، جراحی فلپ لثه هزینه کمتری دارد.
نداشتن عوارض خطرناک: برخلاف برخی روشهای درمانی دیگر، جراحی فلپ لثه باعث ایجاد عوارض خطرناک نمیشود.
پروسه جراحی ساده: انجام این جراحی نسبتا ساده است و برای اکثر افراد مناسب است.
با توجه به این مزایا، جراحی فلپ لثه یک راه حل موثر و مطمئن برای درمان مشکلات لثه و دندان محسوب میشود. اما قبل از تصمیمگیری برای انجام آن، بهتر است با پزشک خود مشورت کنید و درباره تمام جوانب و ابعاد این روش آگاهی دقیقی پیدا کنید.

معایب فلپ لثه
پس از انجام جراحی فلپ لثه، ممکن است مشکلات و عوارضی برای فرد ایجاد شود، برخی از عوارض فلپ لثه موارد زیر است:
خونریزی خفیف: پس از جراحی، ممکن است لثهها به طور موقت خونریزی کنند، اما این مسئله معمولاً در مدت کوتاهی بهبود مییابد.
تورم و التهاب: بعد از جراحی، ممکن است در ناحیه مورد عمل تورم و التهاب ایجاد شود که معمولاً در چند روز اول پس از عمل بهبود مییابد.
احساس درد: پس از جراحی، احتمال وجود درد و ناراحتی در ناحیه مورد عمل هست و با مصرف داروهای تسکیندهنده کنترل میشود.
تحلیل و فرسایش لثهها: در برخی موارد، جراحی باعث تحلیل و فرسایش بخشی از لثهها شده و نیاز به مراقبت و پیگیری دارد.
افزایش حساسیت لثهها به تغییر دما: پس از جراحی، ممکن است لثهها حساستر به تغییرات دما شوند و موجب ناراحتی موقتی میشود.
افزایش ریسک پوسیدگی دندان در ناحیه ریشهها: در برخی موارد، جراحی فلپ لثه باعث افزایش ریسک پوسیدگی دندانهای در ناحیه ریشهها میشود، بنابراین مراقبت دقیق از بهداشت دهان و دندان بسیار اهمیت دارد.
با این حال، اکثر این عوارض به طور موقت و در مدت زمان کوتاهی پس از عمل ایجاد میشوند و با رعایت دستورات پزشک و مراقبتهای مناسب، بهبود خواهند یافت. اگر هر یک از این عوارض به شدت و یا به طور طولانیمدت ادامه داشته باشند، بهتر است به پزشک خود اطلاع دهید.
مشاوره فوری تخصصی فلپ لثه
اگر نیاز به مشاوره فوری تخصصی در مورد جراحی فلپ لثه دارید، بهترین راه این است که با دندانپزشک یا پریودنتیست در کمینیک کینگ دنتال تماس بگیرید. آنها میتوانند بر اساس وضعیت شما، اطلاعات دقیقی درباره نیازهای درمانی شما ارائه دهند و راهنماییهای لازم را در خصوص انتخاب روش درمانی مناسب ارائه کنند.
در یک مشاوره تخصصی و فوری در مورد جراحی فلپ لثه موارد زیر از شما سوال میشود:
تشریح دقیق در مورد فرآیند جراحی و چگونگی انجام آن.
توضیحات در مورد مزایا و معایب جراحی فلپ لثه و نیازهای پس از عمل.
بررسی وضعیت شما و مشخص کردن اینکه آیا جراحی فلپ لثه برای شما مناسب است یا نه.
پاسخ به سوالات و ابهامات شما در مورد جراحی و احتمالات بعد از عمل.
بررسی هزینهها و بیمههای مربوط به جراحی فلپ لثه.
به یاد داشته باشید که هرگز نباید از دریافت مشاوره حرفهای پزشکانه صرف نظر کنید، زیرا این مشاوره میتواند به شما در انتخاب بهترین گزینه برای سلامتی شما کمک کند.
هزینه انجام فلپ لثه در سعادت آباد
هزینه انجام جراحی فلپ لثه ممکن است بسته به محل ارائه خدمات پزشکی، تجربه پزشک و شرایط خاص هر بیمار و علاوه بر این مشاوره پزشکی قبل از عمل، هزینههای آزمایشات پیش از جراحی، هزینه جراحی و مراقبتهای پس از عمل متغیر است. برای اطلاع از هزینه انجام جراحی فلپ لثه در سعادتآباد با کینگ دنتال تماس بگیرید و از جزئیات دقیق هزینه ها مطلع شوید.

دریافت نوبت برای انجام فلپ لثه در سعادت آباد تهران
در سعادتآباد تهران، برای دریافت نوبت برای انجام جراحی فلپ لثه به چند روش مختلف اقدام کنید. با تماس تلفنی با مطبها یا مراکز پزشکی، مراجعه حضوری، استفاده از سایت نوبت مناسبی را برای انجام جراحی فلپ لثه رزرو کنید. دریافت نوبت آنلاین باعث شده تا با توجه به وضعیت و زمان خود، نوبت مناسبی را برای خودتان انتخاب کنید.
جراحی فلپ لثه، یک روش درمانی موثر و معتبر برای بهبود وضعیت لثه و دندان است و مشکلات و بیماریهای لثه و دندان را درمان میکند. با انجام این جراحی، علاوه بر بهبود زیبایی لثه و دندان، میتوانید اعتماد به نفس خود را افزایش دهید و لبخندی زیباتر داشته باشید. اگر نیاز به انجام جراحی فلپ لثه دارید، بهتر است با پزشک خود مشورت کنید و درباره جزئیات روش درمانی، مزایا و معایب آن و توقعات پس از عمل به طور دقیق مطلع شوید. با رعایت نکات پس از عمل و مراقبتهای لازم، بهبودی شما سریعتر خواهد بود.
در صورتی که نیاز به انجام خدمات تخصصی مانند بلیچینگ دندان، کامپوزیت دندان، لمینت دندان، ایمپلنت دندان، عصب کشی دندان، پروتز دندان و… داشتید با ما در کلینیک دندانپزشکی کینگ دنتال در تماس باشید.
3 پاسخ