کشیدن دندان عقل چه زمانی لازم می‌شود؟

کشیدن دندان عقل چه زمانی لازم می‌شود؟

فهرست مطالب

دندان عقل از جمله دندان‌هایی است که برای اغلب افراد دردسر ساز می‌شود. دندان عقل معمولا در سال‌های نوجوانی و یا اوایل بزرگسالی ظاهر می‌شود اما گاهی رشد یا عدم رشد دندان عقل تبدیل به معضلاتی از التهاب و درد گرفته تا عفونت و مشکلات ارتودنسی می‌شود که نیاز به تصمیمات دندانپزشکی از جمله جراحی و کشیدن دندان عقل پیدا خواهد شد.

کشیدن دندان عقل در واقع نوعی جراحی است که ممکن است با تزریق داروی بی حس کننده و در شرایط خاص با بیهوشی عمومی انجام شود. بهترین زمان کشیدن دندان عقل، اوائل دوره بزرگسالی است و حتما باید با نظر دندانپزشک و یا جراح فک و صورت انجام شود.

در این مقاله از کینگ دنتال به  بررسی شرایطی می‌پردازیم که کشیدن دندان عقل را ضروری می‌کنند و تمام جنبه‌های این موضوع را به صورت کاربردی بررسی می‌کنیم ما را تا پایان این مطلب همراهی کنید.

کشیدن دندان عقل

دندان عقل چیست؟ و انواع آن کدام است؟

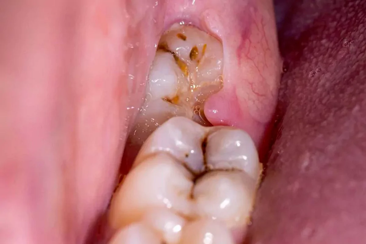
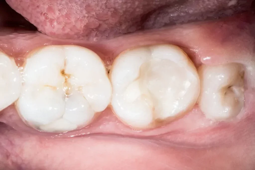
دندان عقل آخرین دندان آسیاب است و آخرین دندانی است که رشد می‌کند. اغلب از دندان عقل به عنوان دندان سوم آسیاب یاد می‌کنند. معمولا دندان عقل در سنین بین ۱۷ تا ۲۵ سالگی ظاهر می‌شود. هر فرد غالبا دو دندان عقل در فک بالا و دو عدد در فک پایین دارد اما ممکن است در بعضی موارد کلا فرد ۲ یا ۳ دندان عقل داشته باشد و یا دندان عقلی نداشته باشد. اگر فضای کافی در فک وجود داشته باشد، این دندان به راحتی رشد کرده و به طور کامل از استخوام فک خارج شده و مانند سایر دندان‌ها در عمل جویدن انجام وظیفه می‌کند.

دندان عقل انواع مختلفی دارد که بر اساس موقعیت و رویش آن ها در دهان تعریف می‌شوند. انواع دندان عقل عبارت‌اند از:

        ·            دندان عقل نهفته (  Teeth Impacted Wisdom )

زمانی که فضای کافی برای رشد دندان عقل در فک وجود نداشته باشد، دندان عقل به طور کامل در داخل لثه یا استخوان فک باقی می‌ماند و نمی‌تواند به طور طبیعی رشد کند. ممکن است دندان به صورت عمودی، افقی و زاویه‌دار باشد و به دندان‌های جلو عقب فشار وارد کند و ترازبندی دندا‌ن‌ها را دچار مشکل کند.

        ·            دندان عقل نیمه نهفته (Wisdom Teeth Partially Erupted)

  در این حالت بخشی از دندان عقل از لثه بیرون می‌آید اما بقیه دندان زیر لثه باثی می‌ماند و می‌تواند منجر به جمع شدن غذا و باکتری شود. در این شرایط  خطر پوسیدگی و عفونت زیاد می‌شود. دندان عقل نیمه نهفته را معمولا باید با جراحی خارج کرد چرا که سبب مشکلات برای لثه‌ها و سایر دندان‌ها خواهد شد.

        ·            دندان عقل رویش یافته ( ( Erupted wisdom teeth

 در این حالت دندان به طور کامل رویش یافته و شبیه دندان‌های آسیاب دیگر است و اگر موقعیت صحیح و فضای کافی در فک و دهان برای دندان ، نیازی به کشیدن آن نیست.

        ·            دندان عقل با رویش نامنظم ( Misaligned Wisdom Teeth)

 وقتی دندان عقل با زاویه نادرست یا در جهتی که به دندان‌های مجاور فشار وارد کند، در داخل فک رشد کند، به آن دندان عقل با رویش نامنظم می‌گویند. معمولا در این شرایط به دلیل اینکه برای دندان‌های دیگر مشکل ایجاد می‌شود، آن را باید کشید.

برای کشیدن دندان عقل معمولی دندانپزشک مانند کشیدن دیگر دندان‌ها عمل می‌کند اما در مورد دندان‌های عقل نهفته و نیمه نهفته نیاز به جراحی است و باید جراحی با تزریق ماده بی حسی و بعضا با بیهوشی عمومی در شرایط خاص انجام شود.

کشیدن دندان عقل چه زمانی لازم می‌شود؟

در صورتی که دندان عقل ایراد و مشکلی نداشته باشد و در موقعیت درست در دهان قرار داشته باشد نیازی به کشیدن آن نیست. کشیدن دندان عقل باید علت مهمی و تاثیرگذاری داشته باشد که تشخیص آن با دندانپزشک و جراح فک و صورت است. اما به طور کلی علل اصلی کشیدن دندان عقل به شرح زیر است:

نهفتگی: دندان عقل گاهی به دلیل نبودن فضای کافی برای رشد نمی‌تواند به طور کامل بیرون بیاید و یا به طور نامناسب رشد می‌کند و بخشی از آن در داخل لثه یا استخوان نهفته می‌ماند. در این شرایط اگر دندان عقل نهفته سبب عفونت، التهاب، فشار به دندان‌های دیگر و … شود باید کشیده شود.

آسیب به دیگر دندان‌ها: اگر دندان عقل رشد نامنظم داشته باشد و یا به صورت افقی یا با زاویه نامناسب رشد کند و باعث فشار به دندان‌های دیگر شود احتمالا دندانپزشک برای جلوگیری از به هم خوردن تراز دیگر دندان‌ها، دندان عقل را می‌کشد.

مشکلات ارتدونسی: گاهی رشد نا به جا و نادرست دندان عقل مانع از موفقیت ارتودنسی می‌شود. همچنین ممکن است فک به اندازه کافی فضا نداشته باشد و پس از رویش دندان عقل، ترازبندی دندان‌ها به هم بخورد در اینصورت بهتر است قبل از شروع ارتودنسی، دندان عقل کشیده شود.

دشواری در تمیز کردن: گاهی به دلیل موقعیت نامناسب دندان عقل، تمیز کرن آن سخت است و این مسئله خطر پوسیدگی و بیماری‌های لثه را افزایش می‌دهد.

عفونت: در برخی از مواقع  نهفته باعث تجمع باکتری و باقی مانده غذا سبب عفونت و در نهایت عفونت لثه خواهد شد. در این شرایط دندانپزشک برای حفاظت از دهان و دندان‌ها دندان عقل را خارج می‌کند.

جراح و دندانپزشک با بررسی وضعیت دهان و دندان بیمار، به راحتی تشخیص می‌دهد که دندان عقل نیاز به کشیده شدن دارد یا خیر. معاینات منظم و مراجعه به داندانپزشک خطر عفونت و مشکلات دندان را به حداقل ممکن می‌رساند.

کشیدن دندان عقل

بهترین زمان برای کشیدن دندان عقل

پیشنهاد می‌شود زمانی که فرد احساس می‌کند دندان عقل در حال در آمدن است، به دندانپزشک مراجعه کند تا دندان عقل و وضعیت آن مشخص شود. به طور کلی اوائل سنین بزرگسالی بهترین زمان کشیدن دندان عقل است چرا که فرایند بهبودی سریع‌تر است و ریشه‌ها دندان عقل هنوز خیلی سفت نشده‌اند.

اگر در آمدن دندان عقل با علائمی چون  تورم و التهاب لثه، درد در زمان باز و بسته کردن دهان، خونریزی لثه همراه بود، بهتر است به متخصص ارتودنسی و دندانپزشک برای بررسی وضعیت دندان‌ها مراجعه کرد تا پزشک با استفاده از  تصاویر رادیوگرافی بتواند لزوم کشیدن دندان عقل را تشخیص دهد.

نحوه کشیدن دندان عقل

کشیدن دندان عقل در شرایط خاص نوعی جراحی است که توسط دندانپزشک یا جراح دهان فک و صورت انجام می‌شود. برای کشیدن دندان عقل ابتدا دندانپزشک به معاینه و بررسی اولیه دندان‌ها با استفاده از  ارزیابی دندانپزشکی،  رادیوگرافی و.. می‌پردازد و موقعیت دندان و ریشه‌های آن را کنترل می‌کند.

در مرحله بعد معمولا از بی حسی موضعی برای کاهش درد استفاده می‌شود و مواد بی حس کننده در اطراف دندان تزریق می‌شود. در شرایط پیچیده ممکن است از بیهوشی عمومی یا خواب مصنوعی استفاده شود. اگر دندان نهفته باشد برای دسترسی به دندان باید برشی کوچک روی لثه ایجاد شود. سپس دندانپزشک با استفاده از ابزار مخصوص به آرامی دندان را از فک جدا کرده و بیرون می‌آورد.

معمولا برای کنترل خونریزی و لخته گاز استریل بر روی محل با فشار گذاشته می‌شود. کنترل خونریزی یکی از جنبه‌های مهم جراحی دندان عقل است و جراحان مختلف از روش‌های متعددی برای کنترل خونریزی در هنگام و بعد از جراحی استفاده می‌کنند. در صورت لزوم، جراح ممکن است برای بستن ناحیه جراحی لثه‌ را بخیه بزند. در مواردی که خونریزی بیشتر باشد ممکن است از داروهای موضعی یا داروهایی که کمک به انعقاد خون می‌کنند استفاده شود.

دندانپزشک بعد از کشیدن دندان دستورالعمل و مراقبت‌هایی شامل پرهیز از غذاهای سفت، رعایت بهداشت دهان دندان، دستور مصرف داروهای تجویز شده و.. را به بیمار گوشزد می‌کند که باید برای تسریع روند بهبودی به طور کامل و دقیق رعایت شود. بهبودی اغلب چند روز به طول می‌انجامد. در نظر داشته باشید که مقداری تورم، کبودی و ناراحتی طبیعی است و در عرض چند روز از بین می‌رود.

عوارض نکشیدن دندان عقل

گاهی دندان عقل می‌تواند بدون هیچ مشکلی در دهان باقی بماند اما در بسیاری از مواقع نکشیدن و عدم درمان منجر به مشکلات و عوارضی مانند بیماری‌های لثه، عفونت، فشار به دندان‌های مجاور، ایجاد کیست یا تومور، ازدحام دندانی، اختلال در درمان ارتودنسی خواهد شد. بررسی منظم و دوره‌ای دندان عقل توسط دندانپزشک و رعایت بهداشت دهان و دندان سبب کاهش احتمال بروز عوارض و تشخیص به موقع مشکل و در نتیجه رسیدگی و رفع آن خواهد شد.

آیا دندان عقل نهفته باید کشیده شود؟

دندان نهفته در واقع دندانی است که از زمان رویش آن گذشته و به دلایلی قادر نیست که در ردیف مناسب سایر دندان‌ها قرار گیرد. چنین دندان عقلی ممکن است در بافت لثه یا استخوان فک گیر کرده باشد و مشکلاتی نظیر التهاب، عفونت، درد و.. ایجاد کنند. همچنین پوسیدگی دندان عقل و یا دندان‌های مجاور دندان عقل و صدمه به آن‌ها از دیگر عوارض نکشیدن دندان عقل نیمه نهفته است.

موارد منع کشیدن دندان عقل

کشیدن دندان عقل باید با احتیاط و بررسی انجام شود و در برخی موارد توصیه نمی‌شود. مهم‌ترین موارد منع کشیدن دندان عقل عبارت‌اند از:

        ·            اگر دندان عقل بسیار نزدیک به عصب فکی باشد، کشیدن آن ممکن است خطر آسیب دائمی به اعصاب و بی حسی داشته باشد.

        ·            از آنجا که با افزایش سن استخوان‌ها سخت‌تر و خطر عوارض پس از جراحی افزایش می‌یابد ممکن است پزشک برای افراد مسن دستور منع کشیدن دندان عقل را بدهد.

        ·            در صورتی که دندان عقل به صورت کامل در استخوان فک مدفون شده باشد و هیچ آسیبی به دندان‌های اطراف نزند معمولا نیازی به کشیدن آن نیست.

        ·            افرادی که دچار نقص یا ضعف سیستم ایمنی هستند و افرادی که بیماری‌های قلب و عروق و یا انعقادی دارد، باید با احتیاط با این موضوع برخورد کنند و احتمال دارد تشخیص دانپزشک این باشد که دندان عقل کشیده نشود.

در هر حال توجه داشته باشید که تشخیص و تصمیم نهایی با دندانپزشک یا جراح فک و صورت است تا همه ریسک‌ها و عوارض احتمالی بررسی شوند و تصمیم حرفه‌ای گرفته شود که به نتیجه آن به نفع بیمار باشد.

کشیدن دندان عقل

مراقبت‌های لازم پس از کشیدن دندان عقل

جراحی دندان عقل مانند همه جراحی‌ها نیاز به مراقبت‌های ویژه‌ای دارد تا به کمک آنها بیمار هرچه سریع‌تر سلامتی خود را باز یابد. رعایت این نکات کمک می‌کند تا روند بهبودی سریع‌تر شود و عوارض احتمالی کاهش یابد. مهم‌ترین مراقبت‌ها پس از کشیدن دندان عقل به شرح زیر است.

توصیه می‌شود پس از جراحی دندان عقل حداقل ۲۴ ساعت استراحت کنید.

از مسواک، استفاده از دهانشویه و نخ دندان در نزدیکی محل جراحی تا چند روز استفاده نکنید.

داروهای تجویز شده را طبق دستور مصرف کنید.

پس از کشیدن دندان عقل باید غذاهای نرم و خنک مصرف کنید.

از مکیدن نی و کشیدن سیگار اجتناب کنید.

اگر روی محل جراحی گاز استریل وجود دارد، بعد از چند ساعت آن را تعویض کنید.

می‌توانید برای کاهش تورم و التهاب از کمپرس سرد استفاده کنید.

هزینه کشیدن دندان عقل

هزینه کشیدن دندان عقل معمولا پس از آن که مشخص شد به جراحی نیاز دارد یا خیر، مشخص می‌شود اما به طور کلی هزینه کشیدن دندان عقل به عوامل مختلفی بستگی دارد. مهم‌ترین عوامل موثر در هزینه کشیدن دندان عقل به شرح زیر است:

        ·            موقعیت کلینیک

        ·            تجربه و تبحر دندانپزشک

        ·            پیچیدگی‌های درمان

        ·            موقعیت دندان

در کلینیک دندانپزشکی کینگ دنتال هزینه کشیدن دندان عقل بر اساس نرخ مصوب انجام شده و با استفاده از بهترین مواد در محیطی آرام و مدرن خدمات دندانپزشکی در بهترین حالت ممکن به مراجعه کنندگان عزیز ارائه می‌شود.

کشیدن و جراحی دندان عقل در همه حال ضروری نیست و تحت شرایط ویژه و خاصی نیاز به جراحی و کشیدن دندان عقل است. معمولا اگر دندان عقل نهفته یا نیمه نهفته باشد، کشیدن و جراحی آن لازم می‌شود. کشیدن دندان عقل باید تحت نظر دندانپزشک متبحر و مرکز معتبر انجام شود و برای جلوگیری از بروز عوارض و بهبود سریع‌تر نکات و دستورالعمل‌های پزشک باید دقیق رعایت شوند.

مجموعه دندانپزشکی کینگ دنتال با همکاری مجرب‌ترین دندانپزشکان و جراحان و در اختیار داشتن مجهزترین تجهیزات و دستگاه‌ها تمام خدمات دندانپزشکی را به بهترین شیوه و با مناسب‌ترین قیمت به مراجعه کنندگان گرامی ارائه می‌دهد. برای کسب اطلاعات بیشتر و دریافت نوبت می‌توانید با شماره‌های درج شده تماس بگیرید تا همکاران ما به راهنمایی شما بپردازند.

سوالات متداول

دوره بهبودی پس از کشیدن دندان عقل، چند روز است؟

بهبودی پس از کشیدن دندان عقل ممکن است چند روز طول بکشد. نکته مهم پس از جراحی دندان عقل رعایت دستورالعمل‌های دندانپزشک و جلوگیری از عفونت و عوارض بعد از آن است.

چگونه می‌توان از نهفتگی دندان عقل پیشگیری کرد؟

پیشگیری از نهفتگی دندان عقل ممکن نیست و به عواملی چون اندازه فک، موقعیت دندان‌ها، ژنتیک و… بستگی دارد.

آیا کشیدن دندان عقل دردناک است؟

در طول کشیدن دندان معمولا بیمار دردی حس نمی‌کند اما بعد از اتمام جراحی و در دوره نقاهت مقداری درد، تورم و کبودی محتمل است که با مصرف مسکن‌ها بر طرف می‌شود.

چه مشکلاتی پس از کشیدن دندان عقل ممکن است به وجود بیاید؟

کشیدن دندان عقل نیز مانند  هر روش جراحی دیگر ممکن است با عوارض  و مشکلاتی همراه باشد که از مهم‌ترین آن ها می‌توان به درد، تورم، عفونت، مشکل در باز کردن دهان یا بلع و دفورمیتی لثه اشاره کرد.

آیا تمام افراد دندان عقل دارند؟

خیر، وجود یا عدم وجود دندان عقل به عوامل مختلفی مانند ژنتیک و فرآیندهای تکاملی بستگی دارد و بسته به هر فرد متفاوت است.

مطالب مرتبط

دیدگاهتان را بنویسید

نشانی ایمیل شما منتشر نخواهد شد. بخش‌های موردنیاز علامت‌گذاری شده‌اند *